Mắc cúm A, người phụ nữ Hà Nội phổi như bị bóp nghẹt, "không thể thở nổi"

Theo Ngọc Minh - Thứ 7 , 08/02/2025, 22:59

Thấy người mệt mỏi, gai người và sốt, người phụ nữ tự mua thuốc về điều trị. Tuy nhiên, ngay trong đêm, chị đã phải vào viện khám do khó thở.

Mắc cúm A, người phụ nữ Hà Nội phổi như bị bóp nghẹt, "không thể thở nổi"

Bệnh nhân P.T.H. (51 tuổi, Hà Nội) ở nhà có triệu chứng ho nhiều, ho có đờm, đau rát họng kèm người gai rét, sốt cao. Bệnh nhân còn xuất hiện thêm tình trạng đau rát vùng sau xương ức và khó thở.

Bệnh nhân nghĩ mắc cúm thông thường nên tự mua thuốc về uống. Tuy nhiên, tình trạng không thuyên giảm, vẫn tiếp tục sốt cao kèm mệt nhiều, ăn kém, khó thở, tưởng như phổi bị bóp nghẹt, "không thể thở nổi". Do đó, bệnh nhân đã quyết định nhập viện ngay trong đêm.

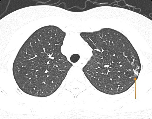
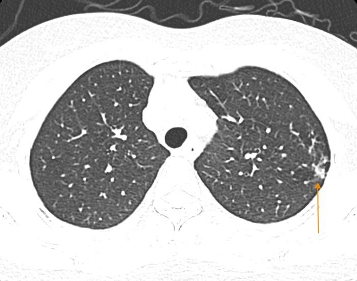
Tại Bệnh viện Đa khoa Medlatec, bệnh nhân được test có dương tính với cúm A. Hình ảnh chụp cắt lớp vi tính phổi độ phân giải cao cho thấy bệnh nhân gặp biến chứng viêm phổi. Hiện tại, bệnh nhân tiếp tục được điều trị và theo dõi tại khoa Nội.

Mắc cúm A, người phụ nữ Hà Nội phổi như bị bóp nghẹt, "không thể thở nổi"- Ảnh 1.

Hình ảnh chụp CT cho thấy tổn thương phổi của bệnh nhân H. (Ảnh: Bác sĩ cung cấp).

Theo đánh giá của TS.BS Ngô Chí Cương - Phó Giám đốc Chuyên môn, Trưởng khoa Nội, Bệnh viện Đa khoa Medlatec, tuy rằng đa phần các trường hợp bị nhiễm cúm A thường diến biến khá nhẹ, tuy nhiên cũng có những tình huống đặc biệt nguy hiểm, thậm chí là gây ra tử vong.

Hiện, nhiều người có tâm lý chủ quan khi mắc cúm, cho rằng chỉ là bệnh nhẹ và không đi khám sớm. Tuy nhiên, ở những người có hệ miễn dịch suy giảm, cúm có thể gây ra các biến chứng nguy hiểm, làm tổn thương cơ thể ở mức độ nghiêm trọng.

TS.BS Chí Cương cho hay cúm A có thể gây ra biến chứng điển hình như viêm phổi. Tình trạng này xuất hiện phổ biến ở các nhóm người có yếu tố nguy cơ cao như:

- Trẻ em;

- Người trên 65 tuổi;

- Người có bệnh mạn tính như: suy tim, đái tháo đường, bệnh phổi tắc nghẽn mạn tính, xơ gan...

- Ở phụ nữ mang thai, mắc cúm A dễ dẫn đến biến chứng viêm phổi nặng và suy thai, sảy thai, thai chết lưu, đẻ non…

Ngoài ra, cúm A còn có khả năng gây viêm bội nhiễm (viêm tai giữa, viêm mũi xoang mủ), viêm cơ tim, nhiễm khuẩn huyết, nhiễm nấm huyết.

2 dấu hiệu mắc cúm cảnh báo nguy hiểm

Bác sĩ Cương cho hay, dù cúm mùa thường được xem là bệnh nhẹ, nhưng nếu xuất hiện hai dấu hiệu sau, người bệnh cần đến cơ sở y tế ngay lập tức:

- Suy hô hấp (thở nhanh, thở nông, khó thở, co kéo cơ hô hấp, tím tái)

- SpO2 giảm dưới 93% (chỉ số bão hòa oxy trong máu thấp có thể dẫn đến suy hô hấp cấp).

Bên cạnh đó, những người có bệnh nền như hen phế quản, COPD, tiểu đường, bệnh tim mạch có nguy cơ biến chứng cao hơn và cần đặc biệt theo dõi sát sao.


Theo Ngọc Minh

Từ Khóa:

© Copyright 2007 - 2026 - Công ty Cổ phần VCCorp.

Tầng 17, 19, 20, 21 Toà nhà Center Building - Hapulico Complex, Số 01, phố Nguyễn Huy Tưởng, phường Thanh Xuân, thành phố Hà Nội

Giấy phép thiết lập trang thông tin điện tử tổng hợp trên mạng số 2216/GP-TTĐT do Sở Thông tin và Truyền thông Hà Nội cấp ngày 10 tháng 4 năm 2019.

Tầng 21, tòa nhà Center Building.

Địa chỉ: Số 01, phố Nguyễn Huy Tưởng, phường Thanh Xuân, thành phố Hà Nội

Điện thoại: 024 7309 5555 Máy lẻ 292. Fax: 024-39744082

Email: info@cafef.vn

Chịu trách nhiệm quản lý nội dung: Ông Nguyễn Thế Tân

Hỗ trợ quảng cáo :

Vận hành bởi VCCorp